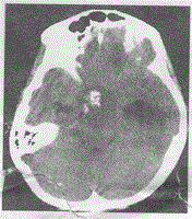
男,17岁,头痛半年,头颅CT平扫如图所示,最可能的诊断是A.垂体瘤B.颅咽管瘤C.海绵状血管瘤D.脊索瘤E.蛛网膜囊肿

作者: rantiku 人气: - 评论: 0
问题 男,17岁,头痛半年,头颅CT平扫如图所示,最可能的诊断是
选项 A.垂体瘤 B.颅咽管瘤 C.海绵状血管瘤 D.脊索瘤 E.蛛网膜囊肿
答案 B
解析

猜你喜欢

发表评论
更多 网友评论0 条评论)
暂无评论

Copyright © 2012-2014 恰考网 Inc. 保留所有权利。 Powered by tikuer.com

页面耗时0.0651秒, 内存占用1.03 MB, Cache:redis,访问数据库20次