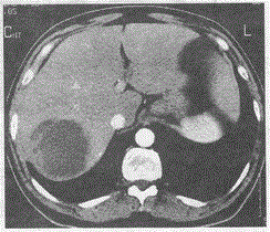
女,45岁,高热7天,伴有上腹部疼痛,增强后如图所示,最可能的诊断是A.肝癌B.肝包虫C.肝脓肿D.肝囊肿E.肝血管瘤

作者: rantiku 人气: - 评论: 0
问题 女,45岁,高热7天,伴有上腹部疼痛,增强后如图所示,最可能的诊断是
选项 A.肝癌 B.肝包虫 C.肝脓肿 D.肝囊肿 E.肝血管瘤
答案 C
解析

猜你喜欢

发表评论
更多 网友评论0 条评论)
暂无评论

Copyright © 2012-2014 恰考网 Inc. 保留所有权利。 Powered by tikuer.com

页面耗时0.0412秒, 内存占用1.03 MB, Cache:redis,访问数据库19次