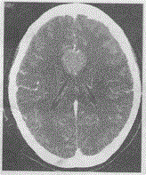
女,60岁.头痛不适,CT强化如图,最可能的诊断是A.转移瘤B.脑膜瘤C.室管膜瘤D.海绵状血管瘤E.动脉瘤

作者: rantiku 人气: - 评论: 0
问题 女,60岁.头痛不适,CT强化如图,最可能的诊断是
选项 A.转移瘤 B.脑膜瘤 C.室管膜瘤 D.海绵状血管瘤 E.动脉瘤
答案 B
解析

猜你喜欢

发表评论
更多 网友评论0 条评论)
暂无评论

Copyright © 2012-2014 恰考网 Inc. 保留所有权利。 Powered by tikuer.com

页面耗时0.0371秒, 内存占用1.03 MB, Cache:redis,访问数据库14次