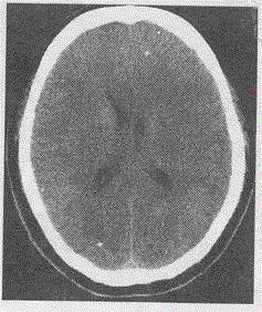
男,35岁,体检发现头颅CT如图,最可能的诊断是A.脑囊虫B.结核C.转移瘤D.灰质异位E.血管畸形

作者: rantiku 人气: - 评论: 0
问题 男,35岁,体检发现头颅CT如图,最可能的诊断是
选项 A.脑囊虫 B.结核 C.转移瘤 D.灰质异位 E.血管畸形
答案 A
解析

猜你喜欢

发表评论
更多 网友评论0 条评论)
暂无评论

Copyright © 2012-2014 恰考网 Inc. 保留所有权利。 Powered by tikuer.com

页面耗时0.0309秒, 内存占用1.03 MB, Cache:redis,访问数据库19次