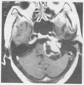
女59岁,左耳听力下降一年,增强头颅MRI示A.脑膜瘤B.海绵状血管瘤C.听神经瘤D.星形细胞瘤E.动脉瘤

作者: rantiku 人气: - 评论: 0
问题 女59岁,左耳听力下降一年,增强头颅MRI示
选项 A.脑膜瘤 B.海绵状血管瘤 C.听神经瘤 D.星形细胞瘤 E.动脉瘤
答案 C
解析

猜你喜欢

发表评论
更多 网友评论0 条评论)
暂无评论

Copyright © 2012-2014 恰考网 Inc. 保留所有权利。 Powered by tikuer.com

页面耗时0.0821秒, 内存占用1.03 MB, Cache:redis,访问数据库17次