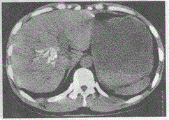
女,55岁,上腹部疼痛三个月,伴有厌食,如图,最可能的诊断是A.肝结核B.胆管结石C.肝内血肿D.胆囊结石E.肝血吸虫病

作者: rantiku 人气: - 评论: 0
问题 女,55岁,上腹部疼痛三个月,伴有厌食,如图,最可能的诊断是
选项 A.肝结核 B.胆管结石 C.肝内血肿 D.胆囊结石 E.肝血吸虫病
答案 B
解析

猜你喜欢

发表评论
更多 网友评论0 条评论)
暂无评论

Copyright © 2012-2014 恰考网 Inc. 保留所有权利。 Powered by tikuer.com

页面耗时0.0451秒, 内存占用1.03 MB, Cache:redis,访问数据库20次