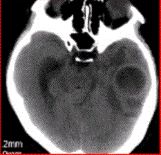
患者女,26岁,头痛、低热10d余,既往有左侧慢性中耳炎病史。CT表现如下图。初步诊断为A.脑脓肿B.胶质瘤C.脑血肿D.脑梗死 ...

作者: rantiku 人气: - 评论: 0
问题 患者女,26岁,头痛、低热10d余,既往有左侧慢性中耳炎病史。CT表现如下图。 初步诊断为
选项 A.脑脓肿 B.胶质瘤 C.脑血肿 D.脑梗死 E.脑囊虫
答案 A
解析

猜你喜欢

发表评论
更多 网友评论0 条评论)
暂无评论
错误啦!

错误信息

  • 消息: [程序异常] : MISCONF Redis is configured to save RDB snapshots, but it's currently unable to persist to disk. Commands that may modify the data set are disabled, because this instance is configured to report errors during writes if RDB snapshotting fails (stop-writes-on-bgsave-error option). Please check the Redis logs for details about the RDB error.
  • 文件: /twcms/kongphp/cache/cache_redis.class.php
  • 位置: 第 85 行
    <?php echo 'KongPHP, Road to Jane.'; ?>