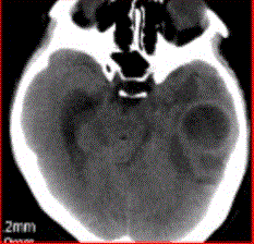
患者女,26岁,头痛、低热10d余,既往有左侧慢性中耳炎病史。CT表现如下图。关于脑脓肿的诊断要点,不正确的是A.常合并化脓性脑膜炎B.颞...

作者: rantiku 人气: - 评论: 0
问题 患者女,26岁,头痛、低热10d余,既往有左侧慢性中耳炎病史。CT表现如下图。 关于脑脓肿的诊断要点,不正确的是
选项 A.常合并化脓性脑膜炎 B.颞叶最常见,约占40% C.多发者高达70% D.单发占70% E.病理学和影像学上可分为炎症期和脓肿形成期
答案 C
解析

猜你喜欢

发表评论
更多 网友评论0 条评论)
暂无评论

Copyright © 2012-2014 恰考网 Inc. 保留所有权利。 Powered by tikuer.com

页面耗时0.0518秒, 内存占用1.03 MB, Cache:redis,访问数据库19次