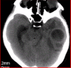
患者女,26岁,头痛、低热10d余,既往有左侧慢性中耳炎病史。CT表现如下图。脑脓肿的感染途径不包括A.中耳炎经鼓室盖直接蔓延B.乳突炎直...

作者: rantiku 人气: - 评论: 0
问题 患者女,26岁,头痛、低热10d余,既往有左侧慢性中耳炎病史。CT表现如下图。 脑脓肿的感染途径不包括
选项 A.中耳炎经鼓室盖直接蔓延 B.乳突炎直接蔓延 C.血栓性静脉炎所致 D.血行感染 E.淋巴途径感染
答案 E
解析

猜你喜欢

发表评论
更多 网友评论0 条评论)
暂无评论

Copyright © 2012-2014 恰考网 Inc. 保留所有权利。 Powered by tikuer.com

页面耗时0.0646秒, 内存占用1.03 MB, Cache:redis,访问数据库18次