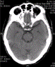
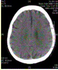
患者男,59岁。眩晕发作半年,肢体麻木、语言不能5h。CT显示如下图。关于脑转移瘤,正确的表述是A.常为多发病灶B.约1/3为单发病灶...

作者: rantiku 人气: - 评论: 0
问题 患者男,59岁。眩晕发作半年,肢体麻木、语言不能5h。CT显示如下图。 关于脑转移瘤,正确的表述是
选项 A.常为多发病灶 B.约1/3为单发病灶 C.主要为血行转移而来,少数为淋巴转移 D.强化常不明显 E.绝大多数伴有明显水肿 F.可伴发出血 G.可累及软骨,硬脑膜或柔脑膜
答案 ABEFG
解析 ABEFG

猜你喜欢

发表评论
更多 网友评论0 条评论)
暂无评论

Copyright © 2012-2014 恰考网 Inc. 保留所有权利。 Powered by tikuer.com

页面耗时0.0456秒, 内存占用1.03 MB, Cache:redis,访问数据库20次