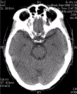
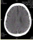
患者男,59岁。眩晕发作半年,肢体麻木、语言不能5h。CT显示如下图。颅内转移瘤最常见的原发灶是A.胃肠道肿瘤B.乳腺癌C.肺癌D...

作者: rantiku 人气: - 评论: 0
问题 患者男,59岁。眩晕发作半年,肢体麻木、语言不能5h。CT显示如下图。 颅内转移瘤最常见的原发灶是
选项 A.胃肠道肿瘤 B.乳腺癌 C.肺癌 D.黑色素瘤 E.肾癌 F.卵巢癌
答案 BCD
解析 BCD

猜你喜欢

发表评论
更多 网友评论0 条评论)
暂无评论

Copyright © 2012-2014 恰考网 Inc. 保留所有权利。 Powered by tikuer.com

页面耗时0.0445秒, 内存占用1.03 MB, Cache:redis,访问数据库20次