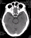
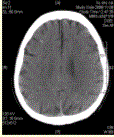
患者男,59岁。眩晕发作半年,肢体麻木、语言不能5h。CT显示如下图。经血行转移的脑转移瘤的常见部位是A.灰质B.灰白质交界区C.白质...

作者: rantiku 人气: - 评论: 0
问题 患者男,59岁。眩晕发作半年,肢体麻木、语言不能5h。CT显示如下图。 经血行转移的脑转移瘤的常见部位是
选项 A.灰质 B.灰白质交界区 C.白质 D.脑室旁 E.白质深部 F.脑膜
答案 B
解析 B

猜你喜欢

发表评论
更多 网友评论0 条评论)
暂无评论

Copyright © 2012-2014 恰考网 Inc. 保留所有权利。 Powered by tikuer.com

页面耗时0.0376秒, 内存占用1.03 MB, Cache:redis,访问数据库18次