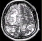
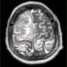
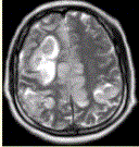
女性,产后癫痫、剧烈头痛1d,意识障碍3h。MRI显示如下图。静脉窦闭塞与高灌注脑病的鉴别要点包括A.高灌注脑病表现为顶、枕叶皮层下弓形纤...

作者: rantiku 人气: - 评论: 0
问题 女性,产后癫痫、剧烈头痛1d,意识障碍3h。MRI显示如下图。 静脉窦闭塞与高灌注脑病的鉴别要点包括
选项 A.高灌注脑病表现为顶、枕叶皮层下弓形纤维的水肿 B.高灌注脑病DWI和ADC均表现为高信号,提示病变为血管源性水肿 C.高灌注脑病经治疗后很快恢复 D.静脉窦闭塞表现为静脉的流空信号消失,相应引流区域水肿、出血 E.MRV可对两者做出鉴别诊断 F.静脉窦闭塞脑实质的并发症主要位于闭塞部位的引流区
答案 ABCDEF
解析 ABCDEF

猜你喜欢

发表评论
更多 网友评论0 条评论)
暂无评论

Copyright © 2012-2014 恰考网 Inc. 保留所有权利。 Powered by tikuer.com

页面耗时0.0393秒, 内存占用1.03 MB, Cache:redis,访问数据库19次