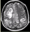
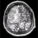
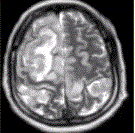
女性,产后癫痫、剧烈头痛1d,意识障碍3h。MRI显示如下图。有关静脉窦闭塞的影像学表现,正确的是A.平扫CT或增强MR显示空三角征B...

作者: rantiku 人气: - 评论: 0
问题 女性,产后癫痫、剧烈头痛1d,意识障碍3h。MRI显示如下图。 有关静脉窦闭塞的影像学表现,正确的是
选项 A.平扫CT或增强MR显示空三角征 B.好发于上矢状窦,其次为横窦、乙状窦 C.脑组织的病理改变与静脉窦和脑静脉的阻塞程度以及是否建立有效的侧支循环无关 D.50%的患者合并静脉性梗死 E.怀疑静脉窦闭塞,首先行MRV检查 F.静脉内充盈缺损,均提示静脉窦闭塞 G.乙状窦为最常见的先天性发育不良的位置
答案 ABDE
解析 ABDE

猜你喜欢

发表评论
更多 网友评论0 条评论)
暂无评论

Copyright © 2012-2014 恰考网 Inc. 保留所有权利。 Powered by tikuer.com

页面耗时0.0365秒, 内存占用1.03 MB, Cache:redis,访问数据库19次