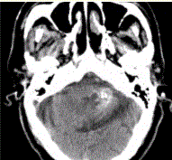
男性,80岁,左耳听力下降伴头晕半年。头CT显示如下图。诊断应为(提示进一步MR检查,病变显示如下图。)A.钙化灶B.急性出血C.动静脉畸...

作者: rantiku 人气: - 评论: 0
问题 男性,80岁,左耳听力下降伴头晕半年。头CT显示如下图。 诊断应为(提示进一步MR检查,病变显示如下图。)
选项 A.钙化灶 B.急性出血 C.动静脉畸形 D.海绵状血管瘤 E.胶质瘤 F.发育性静脉畸形 G.脑囊虫
答案 D
解析 D

猜你喜欢

发表评论
更多 网友评论0 条评论)
暂无评论

Copyright © 2012-2014 恰考网 Inc. 保留所有权利。 Powered by tikuer.com

页面耗时0.0299秒, 内存占用1.03 MB, Cache:redis,访问数据库19次