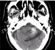
男性,80岁,左耳听力下降伴头晕半年。头CT显示如下图。关于海绵状血管瘤的描述,错误的是A.囊性血管性错构瘤,病变内反复出血,无正常神经组织B...

作者: rantiku 人气: - 评论: 0
问题 男性,80岁,左耳听力下降伴头晕半年。头CT显示如下图。 关于海绵状血管瘤的描述,错误的是
选项 A.囊性血管性错构瘤,病变内反复出血,无正常神经组织 B.CNS任何位置均可发生,脑实质常见 C.病变内不同时期的出血,大小不一 D.T1WI(典型)爆米花样高信号,病变周边低信号环(含铁血黄素沉积) E.病变明显强化 F.DSA可见血管染色 G.海绵状血管瘤可多发,还可伴有发育性静脉畸形
答案 DEF
解析 DEF

猜你喜欢

发表评论
更多 网友评论0 条评论)
暂无评论

Copyright © 2012-2014 恰考网 Inc. 保留所有权利。 Powered by tikuer.com

页面耗时0.0276秒, 内存占用1.03 MB, Cache:redis,访问数据库18次