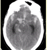
患者男,50岁,突发昏迷、呕吐1h。查体:颈项强直,脑膜刺激征阳性,CT表现如图1。初步诊断应为A.脑血肿B.脑梗死C.蛛网膜下腔出血...

作者: rantiku 人气: - 评论: 0
问题 患者男,50岁,突发昏迷、呕吐1h。查体:颈项强直,脑膜刺激征阳性,CT表现如图1。 初步诊断应为
选项 A.脑血肿 B.脑梗死 C.蛛网膜下腔出血 D.脑血管动静脉畸形 E.正常
答案 C
解析

猜你喜欢

发表评论
更多 网友评论0 条评论)
暂无评论

Copyright © 2012-2014 恰考网 Inc. 保留所有权利。 Powered by tikuer.com

页面耗时0.0377秒, 内存占用1.02 MB, Cache:redis,访问数据库14次