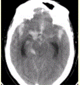
患者男,50岁,突发昏迷、呕吐1h。查体:颈项强直,脑膜刺激征阳性,CT表现如图1。进一步确诊蛛网膜下腔出血的病因,应首选A.CTAB.MRA...

作者: rantiku 人气: - 评论: 0
问题 患者男,50岁,突发昏迷、呕吐1h。查体:颈项强直,脑膜刺激征阳性,CT表现如图1。 进一步确诊蛛网膜下腔出血的病因,应首选
选项 A.CTA B.MRA C.MRI D.MRI增强 E.CT增强
答案 A
解析

猜你喜欢

发表评论
更多 网友评论0 条评论)
暂无评论

Copyright © 2012-2014 恰考网 Inc. 保留所有权利。 Powered by tikuer.com

页面耗时0.0616秒, 内存占用1.02 MB, Cache:redis,访问数据库14次