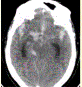
患者男,50岁,突发昏迷、呕吐1h。查体:颈项强直,脑膜刺激征阳性,CT表现如图1。有关动脉瘤,描述正确的是A.根据形态分为囊状、梭形、夹层及假性...

作者: rantiku 人气: - 评论: 0
问题 患者男,50岁,突发昏迷、呕吐1h。查体:颈项强直,脑膜刺激征阳性,CT表现如图1。 有关动脉瘤,描述正确的是
选项 A.根据形态分为囊状、梭形、夹层及假性层动脉瘤 B.囊状15%发生于颅底willis环或椎基底动脉尖 C.梭形动脉瘤好发于颅底willis环 D.无血栓动脉瘤由于存在流空效应,在T1WI和T2WI上均为高信号 E.动脉瘤脑血管造影均为阳性
答案 A
解析

猜你喜欢

发表评论
更多 网友评论0 条评论)
暂无评论

Copyright © 2012-2014 恰考网 Inc. 保留所有权利。 Powered by tikuer.com

页面耗时0.0506秒, 内存占用1.03 MB, Cache:redis,访问数据库20次