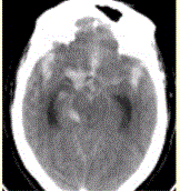
患者男,50岁,突发昏迷、呕吐1h。查体:颈项强直,脑膜刺激征阳性,CT表现如图1。CTA结果如图2所示,该患者的诊断为(左右与人体一致)...

作者: rantiku 人气: - 评论: 0
问题 患者男,50岁,突发昏迷、呕吐1h。查体:颈项强直,脑膜刺激征阳性,CT表现如图1。 CTA结果如图2所示,该患者的诊断为 (左右与人体一致)
选项 A.动静脉畸形 B.海绵状血管瘤 C.发育性静脉畸形 D.烟雾病 E.基底动脉尖和右侧颈内动脉末端动脉瘤
答案 E
解析

猜你喜欢

发表评论
更多 网友评论0 条评论)
暂无评论

Copyright © 2012-2014 恰考网 Inc. 保留所有权利。 Powered by tikuer.com

页面耗时0.0341秒, 内存占用1.03 MB, Cache:redis,访问数据库19次