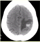
患者女,55岁,右侧肢体无力3d。头颅CT显示如下图。可能的诊断为(提示进一步询问病史,患者无血液系统病史,并行胸部CT检查,发现肺部肿块(下图)...

作者: rantiku 人气: - 评论: 0
问题 患者女,55岁,右侧肢体无力3d。头颅CT显示如下图。 可能的诊断为(提示进一步询问病史,患者无血液系统病史,并行胸部CT检查,发现肺部肿块(下图)。)
选项 A.急性脑血肿 B.肺癌脑转移瘤伴出血 C.胶质瘤伴出血 D.少枝胶质细胞瘤伴出血 E.血液系统病变伴脑出血 F.脑脓肿 G.血管畸形伴出血
答案 B
解析 B

猜你喜欢

发表评论
更多 网友评论0 条评论)
暂无评论

Copyright © 2012-2014 恰考网 Inc. 保留所有权利。 Powered by tikuer.com

页面耗时0.0359秒, 内存占用1.03 MB, Cache:redis,访问数据库19次