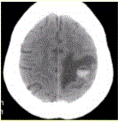
患者女,55岁,右侧肢体无力3d。头颅CT显示如下图。下一步治疗应首选(提示1周后,患者右侧肢体瘫痪,复查CT如下图。)A.手术切除B.继续保...

作者: rantiku 人气: - 评论: 0
问题 患者女,55岁,右侧肢体无力3d。头颅CT显示如下图。 下一步治疗应首选(提示1周后,患者右侧肢体瘫痪,复查CT如下图。)
选项 A.手术切除 B.继续保守治疗 C.放疗 D.化疗 E.激素治疗 F.抗炎治疗
答案 A
解析 A

猜你喜欢

发表评论
更多 网友评论0 条评论)
暂无评论

Copyright © 2012-2014 恰考网 Inc. 保留所有权利。 Powered by tikuer.com

页面耗时0.0356秒, 内存占用1.03 MB, Cache:redis,访问数据库19次