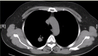
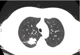
患者女,54岁,无症状,常规体检透视时发现右上肺阴影。既往无结核病史。体格检查阴性。CT结果如下图。该例最可能诊断为A.肺结核瘢痕B.周围...

作者: rantiku 人气: - 评论: 0
问题 患者女,54岁,无症状,常规体检透视时发现右上肺阴影。既往无结核病史。体格检查阴性。CT结果如下图。 该例最可能诊断为
选项 A.肺结核瘢痕 B.周围型肺癌 C.肺错构瘤 D.肺腺瘤 E.结核球 F.尘肺(硅沉着病)
答案 B
解析 B

猜你喜欢

发表评论
更多 网友评论0 条评论)
暂无评论

Copyright © 2012-2014 恰考网 Inc. 保留所有权利。 Powered by tikuer.com

页面耗时0.0686秒, 内存占用1.03 MB, Cache:redis,访问数据库20次