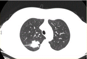
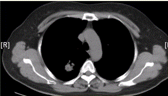
患者女,54岁,无症状,常规体检透视时发现右上肺阴影。既往无结核病史。体格检查阴性。CT结果如下图。本病例可见的征象包括A.分叶征B.毛刺...

作者: rantiku 人气: - 评论: 0
问题 患者女,54岁,无症状,常规体检透视时发现右上肺阴影。既往无结核病史。体格检查阴性。CT结果如下图。 本病例可见的征象包括
选项 A.分叶征 B.毛刺征 C.胸膜凹陷征 D.空泡征 E.含气支气管征 F.钙化
答案 ABCE
解析 ABCE

猜你喜欢

发表评论
更多 网友评论0 条评论)
暂无评论

Copyright © 2012-2014 恰考网 Inc. 保留所有权利。 Powered by tikuer.com

页面耗时0.0368秒, 内存占用1.03 MB, Cache:redis,访问数据库14次