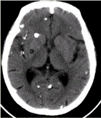
患者男,45岁。头痛、癫痫10余年。查体:无发热,双侧肢体肌力正常。脑电图示双侧额颞叶棘波放电。CT表现如下图。初步拟诊为(提示MR表现如下图:既...

作者: rantiku 人气: - 评论: 0
问题 患者男,45岁。头痛、癫痫10余年。查体:无发热,双侧肢体肌力正常。脑电图示双侧额颞叶棘波放电。CT表现如下图。 初步拟诊为(提示MR表现如下图:既往在内蒙古生活7年。)
选项 A.脑包虫 B.结核瘤 C.转移瘤 D.脑囊虫 E.多发性硬化 F.脑脓肿 G.腔隙性梗死
答案 D
解析 D

猜你喜欢

发表评论
更多 网友评论0 条评论)
暂无评论

Copyright © 2012-2014 恰考网 Inc. 保留所有权利。 Powered by tikuer.com

页面耗时0.0515秒, 内存占用1.03 MB, Cache:redis,访问数据库19次