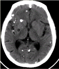
患者男,45岁。头痛、癫痫10余年。查体:无发热,双侧肢体肌力正常。脑电图示双侧额颞叶棘波放电。CT表现如下图。脑囊虫病按部位分可分为A.脑实质型...

作者: rantiku 人气: - 评论: 0
问题 患者男,45岁。头痛、癫痫10余年。查体:无发热,双侧肢体肌力正常。脑电图示双侧额颞叶棘波放电。CT表现如下图。 脑囊虫病按部位分可分为
选项 A.脑实质型 B.蛛网膜下腔型 C.脑室型 D.脑膜型 E.混合型 F.囊泡型 G.钙化型
答案 ACDE
解析 ACDE

猜你喜欢

发表评论
更多 网友评论0 条评论)
暂无评论

Copyright © 2012-2014 恰考网 Inc. 保留所有权利。 Powered by tikuer.com

页面耗时0.0396秒, 内存占用1.03 MB, Cache:redis,访问数据库18次