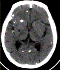
患者男,45岁。头痛、癫痫10余年。查体:无发热,双侧肢体肌力正常。脑电图示双侧额颞叶棘波放电。CT表现如下图。头颅CT检查中,描述不正确的是A....

作者: rantiku 人气: - 评论: 0
问题 患者男,45岁。头痛、癫痫10余年。查体:无发热,双侧肢体肌力正常。脑电图示双侧额颞叶棘波放电。CT表现如下图。 头颅CT检查中,描述不正确的是
选项 A.囊虫存活时(活囊虫),周围脑实质有显著水肿 B.囊虫存活时,周围脑实质没有水肿 C.囊虫死亡后(死囊虫),周围脑实质有显著水肿 D.囊虫死亡后,周围脑实质不再有水肿 E.无论囊虫存活与否,周围均有水肿 F.囊虫钙化沿血管分布 G.囊虫内可见头节
答案 ADEF
解析 ADEF

猜你喜欢

发表评论
更多 网友评论0 条评论)
暂无评论

Copyright © 2012-2014 恰考网 Inc. 保留所有权利。 Powered by tikuer.com

页面耗时0.0547秒, 内存占用1.03 MB, Cache:redis,访问数据库18次