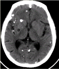
患者男,45岁。头痛、癫痫10余年。查体:无发热,双侧肢体肌力正常。脑电图示双侧额颞叶棘波放电。CT表现如下图。头颅CT检查中,可见囊虫头节钙化,...
相关内容:患者,癫痫,余年,肢体,肌力,脑电,额颞叶,棘波,放电,下图,头颅,检查,囊虫头
猜你喜欢
- 产生"薄厥"的病因是A.过度恐怖,恐则气下B.过度喜笑,喜则气缓C.过度愤怒,怒则气上D.过度悲哀,悲则气消E.过度思虑,思则气结
- 病历摘要: 4岁女孩,因低热20余天,伴盗汗、咳嗽,体重减轻来就诊。查体:体温37.8℃,消瘦,两侧颈部浅表淋巴结1.0 cm×1.0 cm肿大,质中等,...
- 以下各句不含有名词作状语的句子是(?)A.熊颈鸱顾B.家人车载欲往就医C.佗恃能厌食事D.时吐脓血E.一时学者咸声随影附
- 关于折现现金流估值法,下列表述错误的是( )A.详细预测期的结束通常以目标公司进入稳定经营状态为基准
B.折现率的选择取决于预测期期数,与每期现金流无关...
- 对于缺铁性贫血,下列哪一项是对的A.血清转铁蛋白饱和度减低
B.网织红细胞减低
C.血清转铁蛋白减低
D.血清总铁结合力减低
E.红细胞的游离原卟啉减低
- 地陪在接小型旅游团或无领队、无全陪的散客旅游团时,要在接站牌上写(),以便客人能主动与地陪联系。A.接待社名称
B.组团社名称
C.导游员姓名
D....
- 脑重量和氧耗量分别占体重和全身氧耗量的百分比,下列哪项正确()A.2和20B.2和20C.1和10D.1和20E.3和30
- 某公司副总,刘某,男,50岁,身高170Cm,体重89kg,血压135/88mmHg,空腹血糖6.8mmol/L,平时应酬较多经常喝酒,饮食喜咸喜甜,工作...
- 系统性红斑狼疮患者血清中可出现哪些抗体(?)A.抗Sm抗体B.抗磷脂抗体C.抗ds-DNA抗体D.抗粒细胞抗体E.以上均不对
- 固定资产的各组成部分具有不同使用寿命、适用不同折旧率的,应当分别将各组成部分确认为单项固定资产。