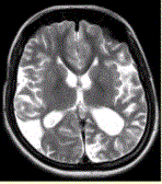
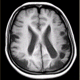
女性,22岁。癫痫发作及智力异常。MRI显示见下图。有关该病的描述正确的是(提示MRA所示如图。)A.双侧颈内动脉及其分支部分闭塞B.双侧...

作者: rantiku 人气: - 评论: 0
问题 女性,22岁。癫痫发作及智力异常。MRI显示见下图。 有关该病的描述正确的是(提示MRA所示如图。)
选项 A.双侧颈内动脉及其分支部分闭塞 B.双侧大脑后动脉狭窄、部分闭塞 C.颅底可见大量侧支循环形成 D.血管未见明显异常 E.双侧椎动脉显示清晰 F.双侧颈内动脉显示清晰
答案 ABC
解析 ABC

猜你喜欢

发表评论
更多 网友评论0 条评论)
暂无评论

Copyright © 2012-2014 恰考网 Inc. 保留所有权利。 Powered by tikuer.com

页面耗时0.0356秒, 内存占用1.03 MB, Cache:redis,访问数据库20次