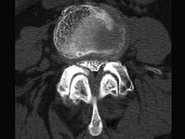
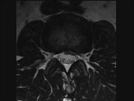
腰椎间盘突出症(如图1)与腰椎管狭窄症(如图2)临床症状的主要不同点为 ( )A、双下肢无力情况B、二便是否障碍C、鞍区感觉改变情况D...

作者: rantiku 人气: - 评论: 0
问题 腰椎间盘突出症(如图1)与腰椎管狭窄症(如图2)临床症状的主要不同点为 ( )
选项 A、双下肢无力情况 B、二便是否障碍 C、鞍区感觉改变情况 D、腰痛及下肢放射痛的程度 E、有否间歇性跛行
答案 E
解析

猜你喜欢

发表评论
更多 网友评论0 条评论)
暂无评论

访问排行

Copyright © 2012-2014 恰考网 Inc. 保留所有权利。 Powered by tikuer.com

页面耗时0.0447秒, 内存占用1.03 MB, Cache:redis,访问数据库20次