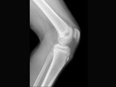
符合胫骨结节骨软骨病(如图)的是 ( )A、伸膝抗阻试验阳性B、可行局部注射醋酸泼尼松龙C、18岁后隆起可自行消失D、有胫骨结节疼...

作者: rantiku 人气: - 评论: 0
问题 符合胫骨结节骨软骨病(如图)的是 ( )
选项 A、伸膝抗阻试验阳性 B、可行局部注射醋酸泼尼松龙 C、18岁后隆起可自行消失 D、有胫骨结节疼痛,隆起 E、多见12~14岁男孩
答案 ADE
解析

猜你喜欢

发表评论
更多 网友评论0 条评论)
暂无评论

访问排行

Copyright © 2012-2014 恰考网 Inc. 保留所有权利。 Powered by tikuer.com

页面耗时0.0596秒, 内存占用1.02 MB, Cache:redis,访问数据库14次