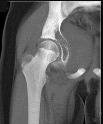
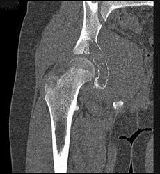
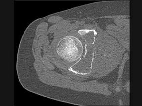
男,15岁,右髋部疼痛、红肿,有压痛,皮温增高,结合图像,最可能的诊断是 ( )A、转移性神经母细胞瘤B、骨结核C、急性骨髓炎...

作者: rantiku 人气: - 评论: 0
问题 男,15岁,右髋部疼痛、红肿,有压痛,皮温增高,结合图像,最可能的诊断是 ( )
选项 A、转移性神经母细胞瘤 B、骨结核 C、急性骨髓炎 D、Ewing肉瘤 E、骨肉瘤
答案 D
解析

猜你喜欢

发表评论
更多 网友评论0 条评论)
暂无评论

访问排行

Copyright © 2012-2014 恰考网 Inc. 保留所有权利。 Powered by tikuer.com

页面耗时0.0504秒, 内存占用1.03 MB, Cache:redis,访问数据库19次