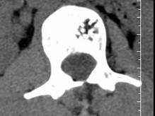
根据所提供的图像,选择最可能的诊断 ( )A、退行性变B、骨质疏松C、多发性骨转移D、骨血管瘤E、骨结核

作者: rantiku 人气: - 评论: 0
问题 根据所提供的图像,选择最可能的诊断 ( )
选项 A、退行性变 B、骨质疏松 C、多发性骨转移 D、骨血管瘤 E、骨结核
答案 D
解析

猜你喜欢

发表评论
更多 网友评论0 条评论)
暂无评论

访问排行

Copyright © 2012-2014 恰考网 Inc. 保留所有权利。 Powered by tikuer.com

页面耗时0.0482秒, 内存占用1.03 MB, Cache:redis,访问数据库20次