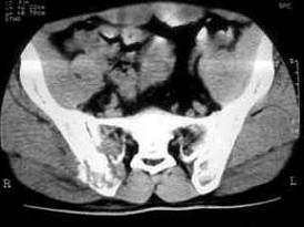
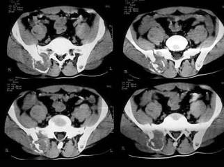
患者 女,53岁,1个月前无明显诱因右髂部疼痛,为持续性隐痛,进行性加重,右下肢活动受限两周,体检右髂前上棘内侧可触及一3.0cm×2.0cm大小肿物,质...

作者: rantiku 人气: - 评论: 0
问题 患者 女,53岁,1个月前无明显诱因右髂部疼痛,为持续性隐痛,进行性加重,右下肢活动受限两周,体检右髂前上棘内侧可触及一3.0cm×2.0cm大小肿物,质韧,无活动,实验室检查无特殊,请结合所提供的图像,选择最佳选项 ( )
选项 A、髂骨纤维组织细胞瘤 B、骨母细胞瘤 C、骨髓炎 D、内生软骨瘤 E、骨结核
答案 A
解析

猜你喜欢

发表评论
更多 网友评论0 条评论)
暂无评论

访问排行

Copyright © 2012-2014 恰考网 Inc. 保留所有权利。 Powered by tikuer.com

页面耗时0.0634秒, 内存占用1.03 MB, Cache:redis,访问数据库20次