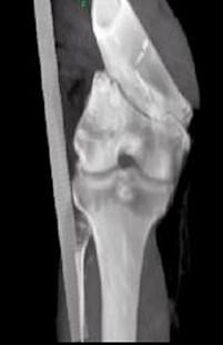
男,45岁,车祸后左膝部剧痛,红肿,不能活动,请结合影像学检查,选出最可能的诊断 ( )A、胫骨骨折B、腓骨骨折C、股骨下端骨折D、柯...

作者: rantiku 人气: - 评论: 0
问题 男,45岁,车祸后左膝部剧痛,红肿,不能活动,请结合影像学检查,选出最可能的诊断 ( )
选项 A、胫骨骨折 B、腓骨骨折 C、股骨下端骨折 D、柯莱斯骨折 E、股骨颈骨折
答案 C
解析

猜你喜欢

发表评论
更多 网友评论0 条评论)
暂无评论

访问排行

Copyright © 2012-2014 恰考网 Inc. 保留所有权利。 Powered by tikuer.com

页面耗时0.0549秒, 内存占用1.03 MB, Cache:redis,访问数据库20次