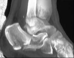
男,34岁,从高处坠落后右脚跟剧痛,请结合影像学检查,选出最可能的诊断 ( )A、楔骨骨折B、骰骨骨折C、跟骨粉碎性骨折D、舟状骨骨折...

作者: rantiku 人气: - 评论: 0
问题 男,34岁,从高处坠落后右脚跟剧痛,请结合影像学检查,选出最可能的诊断 ( )
选项 A、楔骨骨折 B、骰骨骨折 C、跟骨粉碎性骨折 D、舟状骨骨折 E、距骨骨折
答案 C
解析

猜你喜欢

发表评论
更多 网友评论0 条评论)
暂无评论

访问排行

Copyright © 2012-2014 恰考网 Inc. 保留所有权利。 Powered by tikuer.com

页面耗时0.1804秒, 内存占用1.03 MB, Cache:redis,访问数据库20次