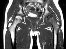
男,6岁,左髋部疼痛、乏力、跛行,请结合MRI检查,选出最可能的诊断 ( )A、骨囊肿B、软骨肉瘤C、股骨头骨骺缺血坏死D、骨肉瘤E、...

作者: rantiku 人气: - 评论: 0
问题 男,6岁,左髋部疼痛、乏力、跛行,请结合MRI检查,选出最可能的诊断 ( )
选项 A、骨囊肿 B、软骨肉瘤 C、股骨头骨骺缺血坏死 D、骨肉瘤 E、髋关节结核
答案 C
解析

猜你喜欢

发表评论
更多 网友评论0 条评论)
暂无评论
错误啦!

错误信息

  • 消息: [程序异常] : MISCONF Redis is configured to save RDB snapshots, but it's currently unable to persist to disk. Commands that may modify the data set are disabled, because this instance is configured to report errors during writes if RDB snapshotting fails (stop-writes-on-bgsave-error option). Please check the Redis logs for details about the RDB error.
  • 文件: /twcms/kongphp/cache/cache_redis.class.php
  • 位置: 第 85 行
    <?php echo 'KongPHP, Road to Jane.'; ?>