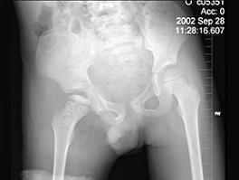
7岁男孩,发现跛行半年伴疼痛,来科行双髋关节正位片,如图所示,最佳的诊断是 ( )A、克丁病B、右髋关节肿瘤C、右股骨头骨软骨炎D、右侧扁...

作者: rantiku 人气: - 评论: 0
问题 7岁男孩,发现跛行半年伴疼痛,来科行双髋关节正位片,如图所示,最佳的诊断是 ( )
选项 A、克丁病 B、右髋关节肿瘤 C、右股骨头骨软骨炎 D、右侧扁平髋 E、右髋关节结核
答案 C
解析

猜你喜欢

发表评论
更多 网友评论0 条评论)
暂无评论

访问排行

Copyright © 2012-2014 恰考网 Inc. 保留所有权利。 Powered by tikuer.com

页面耗时0.0373秒, 内存占用1.03 MB, Cache:redis,访问数据库19次