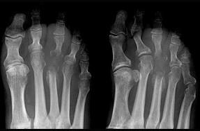
女,55岁,第3趾肿胀,结合图像,最可能的诊断是 ( )A、结核B、化脓毒性关节炎并骨髓炎C、未见异常D、骨髓炎E、化脓性关节炎

作者: rantiku 人气: - 评论: 0
问题 女,55岁,第3趾肿胀,结合图像,最可能的诊断是 ( )
选项 A、结核 B、化脓毒性关节炎并骨髓炎 C、未见异常 D、骨髓炎 E、化脓性关节炎
答案 B
解析

猜你喜欢

发表评论
更多 网友评论0 条评论)
暂无评论

访问排行

Copyright © 2012-2014 恰考网 Inc. 保留所有权利。 Powered by tikuer.com

页面耗时0.0527秒, 内存占用1.03 MB, Cache:redis,访问数据库20次