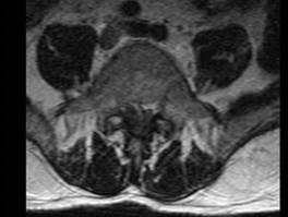
男,52岁,“坐骨神经痛”3个月余,请结合影像学检查,选出最可能的诊断 ( )A、椎间盘突出B、神经根鞘囊肿C、椎间盘炎D、硬...
相关内容:坐骨神经痛,月余,影像学,检查,选出,可能,诊断,椎间盘,神经,根鞘,囊肿
- 腰椎间盘突出症是指 ( )A、软骨板松动B、黄韧带破裂C、后纵韧带破裂D、髓核突出E、纤维环破裂
- 诊断成人腰椎结核最可靠的依据是A、X线片示椎间隙窄,椎体邻缘模糊B、结核菌素试验阳性C、贫血、血沉增快D、腰痛、活动困难、棘突扣痛E、低热...
- 肱骨髁上骨折伸直型骨折的最严重并发症是A、骨化性肌炎B、关节僵硬C、畸形愈合形成肘内翻D、前臂肌肉缺血性挛缩E、正中神经损伤
- 骨盆骨折(如图)最危险的并发症是 ( )A、骶丛神经损伤B、直肠损伤C、盆腔血管损伤D、尿道断裂E、膀胱破裂
- 女性34岁,滑跌,右小腿出现疼痛,肿胀,稍有外旋畸形,足背感觉麻木,足趾不能背伸,但趾屈活动尚存在,X线片示右胫骨下1/3,腓骨颈骨折,出现的并发症最可能...