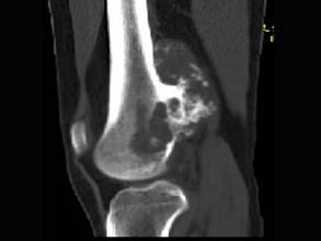
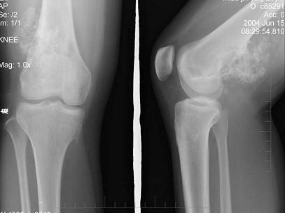
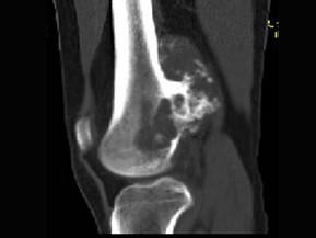
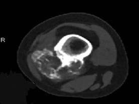
女,20岁,右大腿远端疼痛2年,伴有肿块,请结合所提供图像,选择最佳答案 ( )A、纤维肉瘤B、骨巨细胞瘤C、软骨肉瘤D、骨肉...

作者: rantiku 人气: - 评论: 0
问题 女,20岁,右大腿远端疼痛2年,伴有肿块,请结合所提供图像,选择最佳答案 ( )
选项 A、纤维肉瘤 B、骨巨细胞瘤 C、软骨肉瘤 D、骨肉瘤 E、软骨黏液纤维瘤
答案 C
解析

猜你喜欢

发表评论
更多 网友评论0 条评论)
暂无评论

访问排行

Copyright © 2012-2014 恰考网 Inc. 保留所有权利。 Powered by tikuer.com

页面耗时0.0434秒, 内存占用1.03 MB, Cache:redis,访问数据库20次