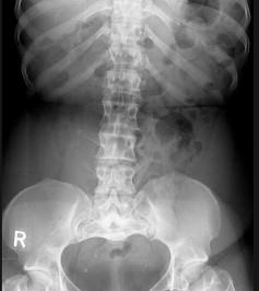
女,41岁,身材矮小,背痛,请结合图像,选出最可能的诊断 ( )A、石骨症B、马方综合征C、腰椎间盘突出D、软骨发育不全E、腰椎退行性变

作者: rantiku 人气: - 评论: 0
问题 女,41岁,身材矮小,背痛,请结合图像,选出最可能的诊断 ( )
选项 A、石骨症 B、马方综合征 C、腰椎间盘突出 D、软骨发育不全 E、腰椎退行性变
答案 D
解析

猜你喜欢

发表评论
更多 网友评论0 条评论)
暂无评论

访问排行

Copyright © 2012-2014 恰考网 Inc. 保留所有权利。 Powered by tikuer.com

页面耗时0.0437秒, 内存占用1.03 MB, Cache:redis,访问数据库20次