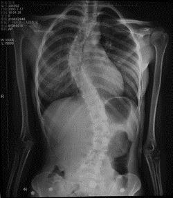
病历摘要: 患者××,女,17岁,发现剃刀背畸形3个月。查体:脊柱胸段向右侧凸,腰段向左侧凸,右胸廓呈剃刀背畸形,双下肢未见明显异常。为了明确诊断...

作者: rantiku 人气: - 评论: 0
问题 病历摘要: 患者××,女,17岁,发现剃刀背畸形3个月。查体:脊柱胸段向右侧凸,腰段向左侧凸,右胸廓呈剃刀背畸形,双下肢未见明显异常。 为了明确诊断,该患者需哪些检查?
选项 A、胸腰椎MRI B、脊髓诱发电位 C、骨盆平片 D、肌电图 E、卧位Bend像 F、拍右侧手及腕部X线片 G、站立位摄脊柱前后位、侧位X线片
答案 ABCDEFG
解析 ABCDEFG

猜你喜欢

发表评论
更多 网友评论0 条评论)
暂无评论

访问排行

Copyright © 2012-2014 恰考网 Inc. 保留所有权利。 Powered by tikuer.com

页面耗时0.0468秒, 内存占用1.03 MB, Cache:redis,访问数据库20次