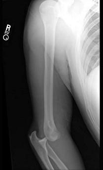
图示脱位最常见的为 ( )A、内侧方脱位B、骨折+脱位C、前脱位D、后脱位E、外侧方脱位

作者: rantiku 人气: - 评论: 0
问题 图示脱位最常见的为 ( )
选项 A、内侧方脱位 B、骨折+脱位 C、前脱位 D、后脱位 E、外侧方脱位
答案 D
解析
发表评论
更多 网友评论0 条评论)
暂无评论
错误啦!

错误信息

  • 消息: [程序异常] : MISCONF Redis is configured to save RDB snapshots, but it's currently unable to persist to disk. Commands that may modify the data set are disabled, because this instance is configured to report errors during writes if RDB snapshotting fails (stop-writes-on-bgsave-error option). Please check the Redis logs for details about the RDB error.
  • 文件: /twcms/kongphp/cache/cache_redis.class.php
  • 位置: 第 85 行
    <?php echo 'KongPHP, Road to Jane.'; ?>