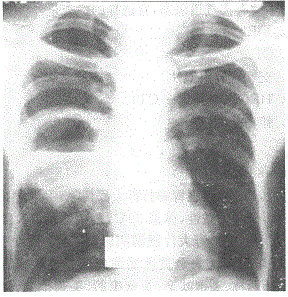
阅读胸片首先考虑的疾病是A.肺癌B.肺结核C.肺炎D.肺脓肿E.胸膜炎

作者: rantiku 人气: - 评论: 0
问题 阅读胸片 首先考虑的疾病是
选项 A.肺癌 B.肺结核 C.肺炎 D.肺脓肿 E.胸膜炎
答案 D
解析

猜你喜欢

发表评论
更多 网友评论0 条评论)
暂无评论
错误啦!

错误信息

  • 消息: [程序异常] : MISCONF Redis is configured to save RDB snapshots, but it's currently unable to persist to disk. Commands that may modify the data set are disabled, because this instance is configured to report errors during writes if RDB snapshotting fails (stop-writes-on-bgsave-error option). Please check the Redis logs for details about the RDB error.
  • 文件: /twcms/kongphp/cache/cache_redis.class.php
  • 位置: 第 85 行
    <?php echo 'KongPHP, Road to Jane.'; ?>