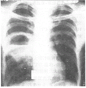
阅读胸片病灶部位A.右肺下野B.右肺上野C.右肺中野D.左肺E.纵隔

作者: rantiku 人气: - 评论: 0
问题 阅读胸片 病灶部位
选项 A.右肺下野 B.右肺上野 C.右肺中野 D.左肺 E.纵隔
答案 C
解析

猜你喜欢

发表评论
更多 网友评论0 条评论)
暂无评论
错误啦!

错误信息

  • 消息: [程序异常] : MISCONF Redis is configured to save RDB snapshots, but it's currently unable to persist to disk. Commands that may modify the data set are disabled, because this instance is configured to report errors during writes if RDB snapshotting fails (stop-writes-on-bgsave-error option). Please check the Redis logs for details about the RDB error.
  • 文件: /twcms/kongphp/cache/cache_redis.class.php
  • 位置: 第 85 行
    <?php echo 'KongPHP, Road to Jane.'; ?>