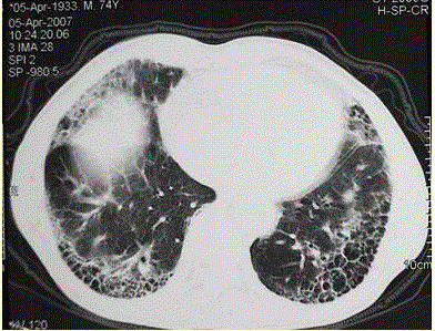
患者男,73岁。进行性呼吸困难半年,加重2个月。否认吸烟史、粉尘接触史。查体:发绀,杵状指,双肺底闻爆裂音。血常规正常,ERS 16 mm/h。胸部CT ...

作者: rantiku 人气: - 评论: 0
问题 患者男,73岁。进行性呼吸困难半年,加重2个月。否认吸烟史、粉尘接触史。查体:发绀,杵状指,双肺底闻爆裂音。血常规正常,ERS 16 mm/h。胸部CT 如图所示。 最可能的诊断是
选项 A.COPD B.UIP C.肺部感染 D.支气管扩张症 E.NSIP
答案 B
解析

猜你喜欢

发表评论
更多 网友评论0 条评论)
暂无评论

访问排行

Copyright © 2012-2014 恰考网 Inc. 保留所有权利。 Powered by tikuer.com

页面耗时0.0458秒, 内存占用1.03 MB, Cache:redis,访问数据库14次