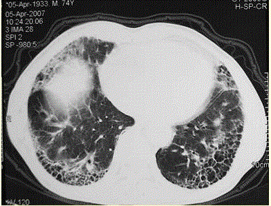
患者男,73岁。进行性呼吸困难半年,加重2个月。否认吸烟史、粉尘接触史。查体:发绀,杵状指,双肺底闻爆裂音。血常规正常,ERS 16 mm/h。胸部CT ...

作者: rantiku 人气: - 评论: 0
问题 患者男,73岁。进行性呼吸困难半年,加重2个月。否认吸烟史、粉尘接触史。查体:发绀,杵状指,双肺底闻爆裂音。血常规正常,ERS 16 mm/h。胸部CT 如图所示。 对该患者进行下一步的检查中,应首选
选项 A.开胸肺活检 B.肺功能检查,包括通气及弥散功能检查 C.血气分析 D.6 min步行试验 E.支气管镜检查
答案 E
解析

猜你喜欢

发表评论
更多 网友评论0 条评论)
暂无评论

访问排行

Copyright © 2012-2014 恰考网 Inc. 保留所有权利。 Powered by tikuer.com

页面耗时0.0654秒, 内存占用1.03 MB, Cache:redis,访问数据库20次