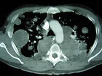
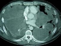
33岁,男,咳嗽1周,有骨肉瘤病史,请结合胸片和CT图,选出最可能的诊断 ( )A.肺梗死B.粟粒性肺结核C.骨肉瘤转移D.结节病...

作者: rantiku 人气: - 评论: 0
问题 33岁,男,咳嗽1周,有骨肉瘤病史,请结合胸片和CT图,选出最可能的诊断 ( )
选项 A.肺梗死 B.粟粒性肺结核 C.骨肉瘤转移 D.结节病 E.错构瘤
答案 C
解析

猜你喜欢

发表评论
更多 网友评论0 条评论)
暂无评论

访问排行

Copyright © 2012-2014 恰考网 Inc. 保留所有权利。 Powered by tikuer.com

页面耗时0.0367秒, 内存占用1.03 MB, Cache:redis,访问数据库18次