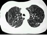
女,33岁,气短伴咳嗽2周,CT检查如图,最可能的诊断为 ( )A.肺间质纤维化B.肺淋巴管肌瘤病C.慢性支气管炎并感染D.硅沉着...

作者: rantiku 人气: - 评论: 0
问题 女,33岁,气短伴咳嗽2周,CT检查如图,最可能的诊断为 ( )
选项 A.肺间质纤维化 B.肺淋巴管肌瘤病 C.慢性支气管炎并感染 D.硅沉着病 E.肺囊肿并感染
答案 B
解析

猜你喜欢

发表评论
更多 网友评论0 条评论)
暂无评论

访问排行

Copyright © 2012-2014 恰考网 Inc. 保留所有权利。 Powered by tikuer.com

页面耗时0.0372秒, 内存占用1.03 MB, Cache:redis,访问数据库18次